تعتبر شركة Prisys Biotechnologies في طليعة الدول التي تعمل على تطوير أبحاث الأدوية وتطويرها من خلال نماذجنا المبتكرة والشاملة الخاصة بالرئيسيات غير البشرية (NHP) للأمراض المناعية والالتهابية. من خلال منصة ما قبل السريرية القوية والمستقرة، نحن متخصصون في تحويل البحث والتطوير الدوائي لمختلف مؤشرات المناعة والالتهابات (I&I)، مع التركيز بشكل خاص على التهاب المفاصل الروماتويدي (RA)، والتصلب المتعدد (MS)، ومرض التهاب الأمعاء (IBD).

لماذا نستخدم NHP لأبحاث I&I؟
يوفر استخدام نماذج NHP لأبحاث I&I العديد من المزايا، بما في ذلك القدرة على دراسة المؤشرات الحيوية البشرية ونقاط النهاية السريرية والعينات الحيوية المزمنة، مما يضمن إمكانية ترجمة الجرعات والفعالية الحقيقية. توفر هذه النماذج أيضًا تقييمات شاملة للسلامة الدوائية وتقييم عشر خلايا مناعية رئيسية (العدلات، الخلايا القاعدية، الخلايا البائية، CD8+ الخلايا التائية، CD4+ الخلايا التائية، CD4+/CD{{ 4}} الخلايا التائية، والخلايا الجذعية الوسيطة، والخلايا القاتلة الطبيعية، والخلايا الوحيدة الكلاسيكية، والخلايا الوحيدة غير الكلاسيكية). دراسة أجراها نولان GP وآخرون. (2022) يسلط الضوء على فعالية نماذج NHP، في حين أن التصوير المقطعي المحوسب لالتهاب الرئة الحاد في المرحلة الحادة في نموذج NHP للالتهاب الرئوي، والذي تم اكتشافه بموجب تسلسل مقطعي بشري، يؤكد ترجمة البيانات (PRISYS، بيانات غير منشورة، 2023).
نماذج I&I الشاملة
تم تصميم نماذج NHP لدينا بدقة لتكرار تعقيدات الاستجابات المناعية البشرية والحالات الالتهابية. تشتمل نماذج I&I الخاصة بشركة Prisys على مجموعة واسعة من دراسات الالتهابات الخاصة بأمراض محددة والتهابات خاصة بالأعضاء، مما يوفر أداة لا تقدر بثمن للباحثين الذين يهدفون إلى فهم هذه الحالات ومكافحتها.
التهاب المفاصل الروماتويدي (RA): نموذج التهاب المفاصل الروماتويدي (RA) الخاص بنا يكرر السمات المرضية الحرجة لالتهاب المفاصل الروماتويدي البشري. ويشمل ذلك تقلص تجويف المفصل، وفقدان صفيحة النمو، وتلف الغضروف المفصلي والغضروف المفصلي، وتآكل العظام. هذه الخصائص تجعل نموذجنا وثيق الصلة بدراسة تطور المرض وتقييم فعالية العوامل العلاجية الجديدة.

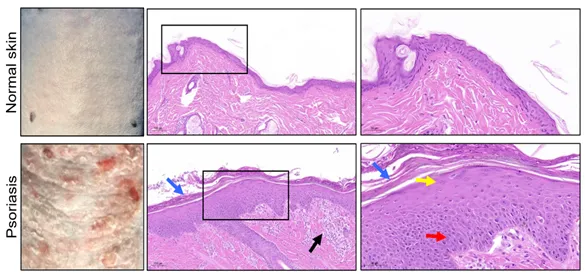
نموذج الصدفية:نموذج الصدفية لدينا يكرر بشكل فعال النتائج المرضية التي لوحظت في الصدفية البشرية. بعد 14-يوم من تحدي IMQ، يظهر الجلد العديد من الخصائص الرئيسية: الأنسجة الميتة خارج البشرة، سمك البشرة غير المتساوي، التقرن الموضعي غير الكامل، وانخفاض تكوين الكولاجين عبر البشرة والأدمة. بالإضافة إلى ذلك، هناك ارتشاح كبير للخلايا الليمفاوية، مما يعكس الاستجابة الالتهابية التي تظهر في الصدفية البشرية. هذا النموذج لا يقدر بثمن لدراسة الفيزيولوجيا المرضية للصدفية وتقييم التدخلات العلاجية المحتملة.

التصلب المتعدد (MS): تحاكي نماذج مرض التصلب العصبي المتعدد الخاصة بنا خاصية إزالة الميالين الالتهابية المزمنة للمرض، مما يسهل تقييم العلاجات الجديدة التي تستهدف الالتهاب العصبي والوقاية العصبية.
مرض التهاب الأمعاء (IBD): تتيح نماذج IBD الخاصة بنا دراسة الالتهاب المعوي المزمن، وهو أمر ضروري لتطوير علاجات جديدة تهدف إلى علاج مرض كرون والتهاب القولون التقرحي.
تقدم Prisys Biotechnologies مجموعة شاملة من نماذج NHP لمختلف الأمراض المناعية والالتهابية. وتشمل هذه نماذج لحالات المناعة الذاتية مثلداء السكري من النوع الأول، والتهاب الأعصاب في مرض التصلب المتعدد، والتنكس العصبي في مرض باركنسون. تغطي نماذجنا الالتهابيةمرض التهاب الأمعاء، والحكة، وتسمم الدم الداخلي، والتهاب في أنسجة الرئة والكبد والكلى. نحن متخصصون أيضًا في نماذج الالتهابات البكتيرية BSL-2 وحالات الحساسية مثلالربو والتهاب الجلد التأتبي والحساسية العامة. بالإضافة إلى ذلك، تدعم نماذجنا دراسات المناعة التي تركز علىالاستجابات المعتمدة على الخلايا التائية وفرط الحساسية المتأخر وكبت المناعة. نحن نقدم خطط التنمية المشتركة لحالات مثل متلازمة سجوجرن، والذئبة الحمامية الجهازية، وايغا اعتلال الكلية. وأخيرا، يوفر نموذج الوهن العضلي الوبيل لدينا نظرة ثاقبة لهذا المرض العصبي العضلي المزمن.
دعم طرق الدواء المختلفة
تتفوق شركة Prisys Biotechnologies في دعم طرق الأدوية المختلفة، مع خبرة واسعة في تحويل الطرائق من الجزيئات الصغيرة إلى الأدوية البيولوجية. يتضمن سجلنا الحافل تقييمات ناجحة للأجسام المضادة والعلاجات الجينية وغيرها من العلاجات المبتكرة. تضمن خبرتنا أن تكون عملية تطوير الدواء لديك مدعومة ببيانات ما قبل السريرية الموثوقة، مما يعزز احتمالية النجاح السريري.
قدرات التحول السريري
لتسهيل الترجمة السريرية لأبحاثك، نقدم لك خططًا مرنة لتصوير الجسم الحي وأخذ العينات الحيوية. تسمح هذه القدرات بالتتبع الدقيق للتغيرات المناعية والمرضية الحادة والمزمنة، مما يوفر فهمًا شاملاً للتأثير العلاجي مع مرور الوقت.
فحوصات المناعة المتقدمة
تشتمل فحوصاتنا المناعية المتقدمة لـ NHPs على ملفات تعريف شاملة للجلوبيولين المناعي في الدم (IG)، ولوحات الخلايا المناعية، وتحليل السيتوكينات. تعتبر هذه الاختبارات ضرورية لتقييم الاستجابات المناعية وفعالية العلاجات المعدلة للمناعة، مما يضمن حصولك على بيانات مفصلة وقابلة للتنفيذ لبحثك.
شريك مع Prisys للأبحاث المتطورة
من خلال الشراكة مع Prisys Biotechnologies، يمكنك الوصول إلى منصة ما قبل السريرية الحديثة التي يمكنها تطوير أبحاث الأمراض المناعية والالتهابية بشكل كبير. فريقنا المتفاني على استعداد للتعاون معك، وتوفير الخبرة والموارد اللازمة لدفع مشاريعك إلى الأمام. لمعرفة المزيد حول منصة I&I الشاملة لدينا وكيف يمكن أن تفيد بحثك، يرجى الاطلاع على المواد الوصفية التفصيلية المرفقة. لمزيد من المعلومات حول نماذج NHP الخاصة بنا أو لترتيب جلسة تمهيدية، يرجى الاتصال بنا. نحن نتطلع إلى مناقشة كيف يمكن لـ Prisys دعم تحويل البحث والتطوير للأدوية الخاصة بك والمساعدة في رحلتك نحو حلول علاجية مبتكرة.











